증례퀴즈

[Total Cases: 160 ]
Case Cases No Sex / Age Chief complaint
Subspecialty Author Hospital Hit Date
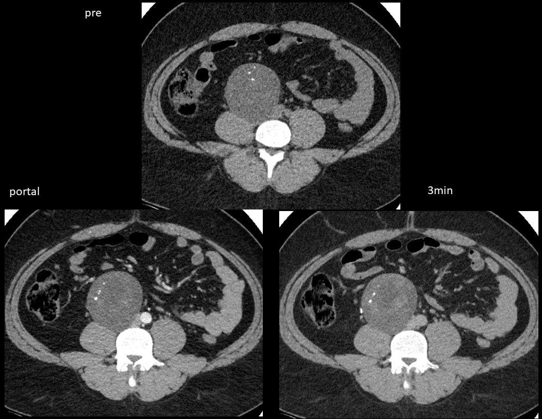
Case
No.160
M / 60 Rt. Inguinal mass
URORADIOLOGY 조범상 충북대 2880 2024-02-07
Case
No.159
F / 28 Intrauterine pregnancy, 8 weeks, right ovary mass on US CA125 405 U/mL, CA 19-9 43U/mL
URORADIOLOGY 문성경 경희대병원 영상.. 2087 2023-01-02
Case
No.158
F / 55 CA125 1128.1 U/mL, CA 19-9 15.21U/mL
URORADIOLOGY 문성경 경희대병원 영상.. 1070 2022-10-11
Case
No.157
M / 77 nocturnal urinary frequency
URORADIOLOGY 문성경 경희대병원 영상.. 1374 2022-04-04
Case
No.156
M / 24 Left flank pain, ureter stone으로 응급실 방문
URORADIOLOGY 문성경 경희대병원 영상.. 1110 2022-03-07
Case
No.155
F / 59 Incidental abdominal mass
URORADIOLOGY 문성경 경희대병원 영상.. 831 2022-02-10
Case
No.154
M / 50 Urinary bladder mass
URORADIOLOGY 문성경 경희대병원 영상.. 912 2022-01-11
Case
No.153
F / 66 Left renal mass
URORADIOLOGY 문성경 경희대병원 영상.. 1708 2021-08-09
Case
No.152
F / 63 Lower abdominal pain and palpable abdominal mass
URORADIOLOGY 문성경 경희대병원 영상.. 1443 2021-06-08
Case
No.151
F / 27 Amenorrhea for 8 weeks
URORADIOLOGY 문성경 경희대병원 영상.. 1391 2021-03-24
Case
No.150
F / 61 오른쪽 하지 부종
URORADIOLOGY 문성경 경희대병원 영상.. 994 2021-03-05
Case
No.149
M / 67 Incidental abdominal mass
URORADIOLOGY 문성경 경희대병원 영상.. 1404 2021-01-27
Case
No.148
M / 69 Scrotal swelling and pain
URORADIOLOGY 문성경 경희대병원 영상.. 1065 2021-01-06
Case
No.147
F / 37 Pelvic mass
URORADIOLOGY 문성경 경희대병원 영상.. 1641 2020-10-30
Case
No.146
M / 31 Testicular masses
URORADIOLOGY 문성경 경희대병원 영상.. 1165 2020-08-11
Case
No.145
F / 15 Left lower abdominal pain
URORADIOLOGY 문성경 경희대병원 영상.. 2593 2020-05-27
Case
No.144
M / 35 Pelvic mass, elevated serum AFP (10.3 ng/mL)
URORADIOLOGY 문성경 경희대병원 1399 2020-04-29
Case
No.143
F / 54 An incidental abdominal mass on screening
URORADIOLOGY 문성경 경희대병원 영상.. 1301 2020-03-25
Case
No.142
M / 56 Adrenal mass의 감별
URORADIOLOGY 문성경 경희대병원 영상.. 1337 2020-02-26
Case
No.141
F / 61 Epigastric pain and abdominal discomfort
URORADIOLOGY 문성경 경희대병원 영상.. 1166 2020-02-17